An Implant Offers New Hope for Incurable Eye Disease

Experimental chip and glasses restore some sight to patients with geographic atrophy
Posted Oct 20, 2025 12:14 PM CDT
Bionic Retina Lets Blind Patients Read Again
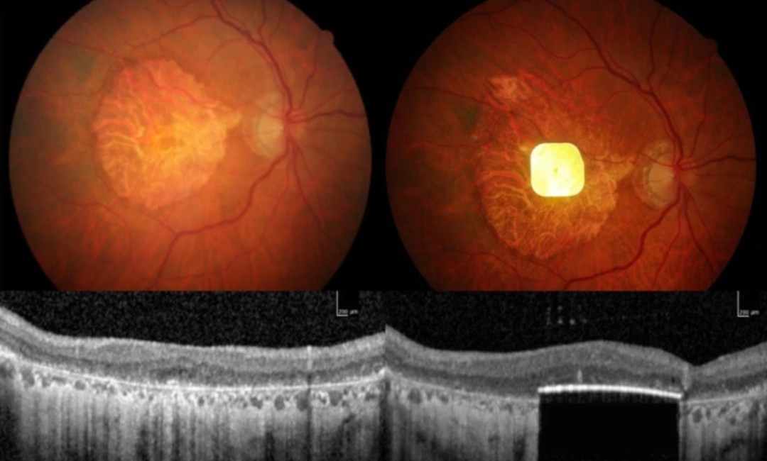
Before and after images of an eye fitted with the photovoltaic retina implant microarray (PRIMA).   (Science Corporation via Nature)

Good news, Dame Judi Dench: A new prosthetic retinal implant has restored limited vision to people suffering from an advanced form of macular degeneration, allowing some who were nearly blind to read again, according to a study published Monday in the New England Journal of Medicine. The device targets geographic atrophy, a condition where central retinal cells die, leaving patients with a large blind spot and only peripheral vision, reports the New York Times. In the study, 27 out of 32 participants—average age 79—saw enough improvement after implantation to read with their artificial retinas, though the restored vision is black-and-white, blurry, and limited in scope.

The system works by pairing a wireless chip implanted in the retina with glasses fitted with a camera. The camera captures images, converts them to infrared signals, and projects them onto the implant. The pixels in the implant stimulate surviving retinal neurons to create a visual impression. Patients can use a zoom function to help read, but only a few letters are visible at a time, making reading slow. Adapting to the new system also takes months of training, according to a release. Side effects—including increased eye pressure, retinal tears, and bleeding—were reported in 19 patients, but most issues resolved within two months.

The device originated with a French company, Pixium Vision, which has since gone out of business; its assets were acquired by California-based Science Corporation, which is now seeking regulatory approval in Europe and is in discussions with the FDA for US distribution. The treatment is only suitable for those with lost retinal photoreceptors and will not help people with other causes of blindness. Still, "I recollect one patient telling me, 'I thought my eyes were dead and now they are alive again,'" study co-author and French ophthalmologist José-Alain Sahel tells New Scientist. The device's inventor, Daniel Palanker of Stanford, notes an improved model with higher resolution is in development, though so far tested only in rats, per the Times.

Read These Next
Get the news faster.
Tap to install our app.
X
Install the Newser News app
in two easy steps:
1. Tap in your navigation bar.
2. Tap to Add to Home Screen.

X